A deformidade de Haglund, também conhecida como síndrome de Haglund, é uma protuberância óssea no calcanhar que pode causar dor e inflamação do tendão de Aquiles e da bursa (bolsa com líquido) entre o osso e o tendão. O tratamento visa aliviar a dor e a inflamação com repouso, gelo, medicamentos, uso de palmilhas e troca de calçados, podendo ser indicada a cirurgia se estas medidas não forem eficazes.
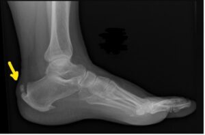
A deformidade de Haglund é um aumento ósseo anormal na região posterossuperior do calcâneo, onde o tendão do calcâneo se insere. Essa protuberância pode ser facilmente visualizada (ver Figura 1) e palpável durante o exame físico.
Tenho certeza de que todos nós já observamos essa condição em nossa população de pacientes. Essa deformidade foi descrita pela primeira vez pelo cirurgião ortopédico sueco Patrick Haglund em 1927. Essa condição também é conhecida como exostose retrocalcânea, deformidade de Mulholland e “inchaço em bomba”. O inchaço ósseo pode causar irritação do tendão calcâneo distal e das bursas adjacentes.
O tendão do calcâneo se forma a partir dos músculos gastrocnêmio e sóleo, inserindo-se no calcâneo posterior. É importante observar que a deformidade de Haglund pode levar à síndrome de Haglund, e nem todos os pacientes com a doença apresentam a síndrome. A síndrome de Haglund refere-se à tríade de deformidade de Haglund , bursite retrocalcânea e tendinopatia insercional do calcâneo .
A bursa retrocalcânea (entre o tendão do calcâneo e o calcâneo) e a bursa subcutânea superficial (entre a pele e o tendão do calcâneo) são comumente associadas à inflamação observada em pacientes com deformidade de Haglund sintomática. Essa deformidade pode causar desconforto ao usar certos tipos de calçados, como botas de trabalho, sapatos sociais, patins de gelo, etc.
A causa exata não é totalmente compreendida. Alguns fatores, como arco alto, genética, tendão calcâneo tenso, mecânica do pé (padrão de marcha inadequado) ou calçados com parte traseira rígida, podem contribuir. Embora os dados epidemiológicos exatos sobre a incidência sejam limitados, a melhor estimativa é que aproximadamente 2% da população possa ser afetada, mais comumente na faixa etária intermediária, com maior predominância no sexo feminino. No entanto, entre pacientes com tendinite insercional do calcâneo, a taxa de síndrome de Haglund foi relatada em até 25%.




Revisão Anatômica
O tendão do calcâneo conecta os músculos da panturrilha, gastrocnêmio e sóleo, ao calcâneo (osso do calcanhar). É o tendão mais espesso e forte do corpo humano. É uma estrutura crucial para certos movimentos, como caminhar, correr e pular, e ajuda a impulsionar o pé, permitindo a flexão plantar e transmitindo a força dos músculos da panturrilha para o pé. Ele tem aproximadamente 15 a 25 centímetros de comprimento em um adulto médio.

Dicas de Técnicas de Ultrassom
Posição do Paciente
Decúbito ventral, pé solto e solto, permitindo avaliação ultrassonográfica dinâmica.
Transdutor
O transdutor linear de alta frequência com uma faixa de frequência de 10–15 MHz é ideal para imagens ideais dessa condição.
Planos de varredura
Eixo longo – Paralelo às fibras do tendão de Aquiles.
Eixo curto – Perpendicular ao tendão para exibição da anatomia transversal.
Manobras Dinâmicas
Dorsiflexão/flexão plantar passiva para visualizar o deslizamento do tendão e a distensão da bursa.
Doppler
O Doppler de amplitude ou o Doppler colorido são úteis para documentar hiperemia no tendão ou ao redor da bursa, sugerindo inflamação ativa. Observe que o Doppler de amplitude é uma modalidade mais sensível para detectar hiperemia.
Achados ultrassonográficos na deformidade de Haglund
- Exostose calcânea posterossuperior (a “protuberância”).
- Pode ser visto esporão calcâneo subjacente.
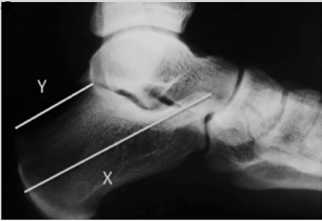
- Espessamento focal na inserção (normal: 4–6 mm; >7–9 mm ou mais sugere patologia).
- Perda da ecotextura fibrilar normal — parece hipoecoico e inchado.
- Tendinopatia insercional e/ou rupturas de espessura parcial.
- Hiperemia ao Doppler na inflamação crônica/ativa.
- Bursa retrocalcânea: Distensão anecoica ou hipoecoica (acúmulo de líquido).
- Bursa superficial/subcutânea: edema hipoecoico entre a pele e o tendão. Ambas as estruturas podem parecer aumentadas e inflamadas.
- Convexidade dos tecidos moles posteriores ao tendão (bursite superficial).
- Interface rompida onde o tendão encontra o calcâneo.




Vantagens de usar POCUS
O POCUS oferece vantagens exclusivas aos médicos nessa condição, como:
- Nenhuma exposição à radiação ionizante.
- Avaliação dinâmica em tempo real.
- Diferenciação de tecidos moles — pode distinguir tendinopatias, rupturas e bursites.
- Orientação para procedimentos — injeção de corticosteroides na bursa sob visualização direta.
- Econômico e de fácil acesso em comparação à ressonância magnética.
- Excelente ferramenta para monitorar a cicatrização ao longo do tempo.
Diagnóstico Diferencial
Radiografias simples e ressonância magnética podem confirmar anormalidades ósseas, mas a correlação com detalhes ultrassonográficos dos tecidos moles corrobora o diagnóstico. Outras causas de dor no calcanhar incluem bursite retrocalcânea/superficial isolada, artropatias sistêmicas e ruptura do tendão calcâneo.
Conclusão
A ultrassonografia é uma modalidade altamente eficaz para avaliar ou diagnosticar a deformidade de Haglund e a síndrome de Haglund, além de auxiliar na definição de patologias ósseas e de tecidos moles ao redor da inserção do calcâneo. Os principais achados incluem uma protuberância calcânea posterossuperior, tendão espessado e hipoecoico, bursite retrocalcânea e superficial e aumento do fluxo Doppler em casos de inflamação ativa.
O protocolo de avaliação POCUS envolve a avaliação do tendão e dos tecidos adjacentes em múltiplos planos, incluindo avaliação dinâmica e imagens Doppler colorido ou de amplitude. As opções de tratamento incluem modificação do calçado, exercícios de alongamento, medicação anti-inflamatória, aplicação de gelo e fisioterapia. A cirurgia raramente é recomendada e reservada para casos sem resposta, com o objetivo de remover a proeminência óssea. O objetivo deste artigo do blog é ajudar os usuários do POCUS a diagnosticar com segurança a deformidade de Haglund e a síndrome de Haglund.
